
Médecin adjoint et directeur adjoint de la clinique d’ophtalmologie de l’Hôpital universitaire de Zurich
De nombreux problèmes oculaires se manifestent immédiatement, car ils provoquent des douleurs, des rougeurs ou une vision floue. Il existe cependant des infections moins connues qui peuvent avoir de graves conséquences si le diagnostic est tardif. L’une d’entre elles est la kératite à Acanthamoeba, une infection oculaire rare mais sérieuse, qui touche principalement les porteurs et porteuses de lentilles de contact. Nous en avons discuté avec le Dr. Frank Blaser, médecin adjoint et directeur adjoint de la clinique d’ophtalmologie de l’Hôpital universitaire de Zurich, afin d’en apprendre davantage sur les symptômes, les risques et les mesures de prévention. | Noémie Aeschlimann
Pourquoi cette infection est-elle si peu connue du grand public ?
Cela s’explique par le fait que la maladie est très rare. Des études montrent que, dans les pays industrialisés, on recense environ deux cas par million d’habitants et par an. En Suisse, avec près de neuf millions d’habitants, cela représente moins de vingt cas par année.
Quels symptômes doivent alerter particulièrement rapidement ?
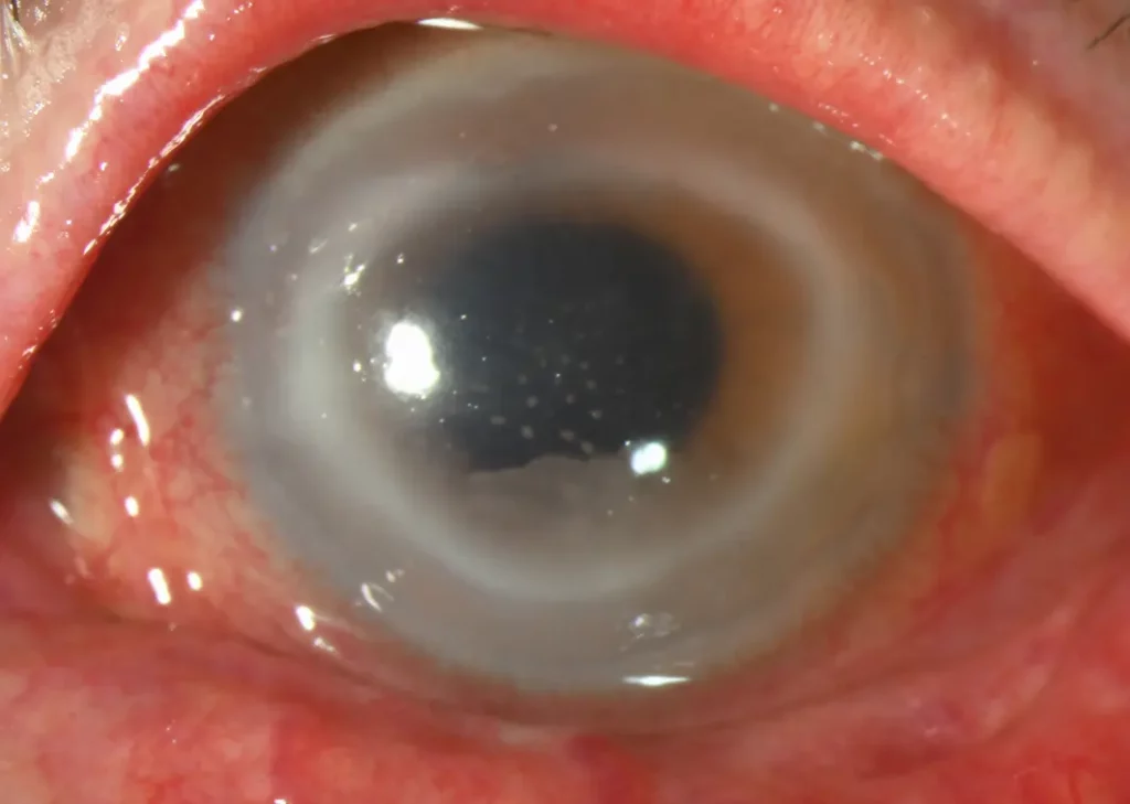
Une sensation de corps étranger, des douleurs, une baisse de la vision et une sensibilité accrue à la lumière. Ces symptômes ne sont toutefois pas spécifiques, car de nombreuses infections oculaires présentent des signes similaires. Chez les porteurs de lentilles de contact, un œil rouge unilatéral constitue un signal important, souvent accompagné d’irritations ou d’une vision trouble. Si les symptômes persistent malgré le retrait des lentilles, il convient de consulter immédiatement un ophtalmologue. Les lentilles doivent être conservées dans leur étui afin de pouvoir être analysées dans le cadre du diagnostic.
Pourquoi les porteurs de lentilles de contact sont-ils plus touchés ?
Les Acanthamoeba sont présents partout, en particulier dans l’eau. Normalement, le film lacrymal protège l’œil et empêche la pénétration des agents pathogènes. Toutefois, s’il existe une porte d’entrée, par exemple de petites lésions ou la lentille de contact elle-même, une infection peut se développer. Les lentilles sont poreuses, ce qui permet à l’eau de pénétrer et aux Acanthamoeba d’adhérer au matériau. Lorsque les lentilles sont portées pendant plusieurs heures, l’exposition est prolongée. La combinaison d’un port prolongé, d’un matériau poreux et de la capacité d’adhérence des Acanthamoeba augmente nettement le risque d’infection.
Pourquoi la douleur constitue-t-elle un signal d’alerte particulièrement important ?
Toute infection oculaire doit faire l’objet d’une évaluation médicale. La kératite à Acanthamoeba ne provoque pas toujours immédiatement des douleurs intenses, mais elle peut entraîner par la suite des symptômes très sévères lorsque les nerfs cornéens sont atteints. La douleur oculaire est un signe d’alerte qui doit être pris particulièrement au sérieux, notamment chez les porteurs de lentilles de contact.
Pourquoi un diagnostic précoce joue-t-il un rôle central ?
Un diagnostic précoce permet d’instaurer un traitement plus rapidement et de limiter l’étendue de l’infection. Les formes débutantes sont plus faciles à traiter et laissent moins de cicatrices cornéennes. Si la prise en charge est tardive, l’infection peut pénétrer plus profondément dans les tissus, former des kystes et devenir nettement plus difficile à traiter. Dans les cas avancés, une greffe de cornée peut s’avérer nécessaire et, dans les situations les plus graves, la perte de l’œil est possible.
Quelles peuvent être les conséquences à long terme en cas de traitement insuffisant ?
Les séquelles à long terme sont toujours associées à la formation de cicatrices. Plus l’infection est sévère, plus l’atteinte de l’acuité visuelle est importante. Les cicatrices peuvent altérer la sensibilité aux contrastes, l’acuité visuelle ainsi que la tolérance à la lumière. Lorsque l’infection ne peut être suffisamment maîtrisée, une greffe de cornée devient nécessaire. Celle-ci modifie la forme de la cornée et la réhabilitation visuelle nécessite souvent le port de lentilles de contact rigides.
Quels conseils de prévention donnez-vous à vos patients ?
La prévention repose avant tout sur une manipulation correcte des lentilles de contact : limiter la durée de port, ne pas les porter la nuit, utiliser correctement les systèmes de nettoyage et garder les mains propres et sèches avant la pose. Les lentilles ne doivent jamais entrer en contact avec l’eau, que ce soit sous la douche, à la piscine ou au sauna. Les humidifier avec de la salive est également à proscrire. En résumé : lentilles de contact et eau ne font pas bon ménage.
Quel message clé souhaitez-vous transmettre à nos lecteurs ?
Un œil rouge ou douloureux, ainsi qu’une baisse soudaine de la vision, doivent toujours être examinés rapidement par un ophtalmologue, en particulier chez les porteurs de lentilles de contact. Si les symptômes persistent après le retrait des lentilles, il faut consulter immédiatement un service d’urgence ophtalmologique. L’hygiène est essentielle : les systèmes d’entretien doivent être utilisés correctement et toute exposition à l’eau doit être évitée.
Cet article a été réalisé avec l’aimable soutien d’Avanzanite Bioscience B.V /L’indépendance de l’opinion de l’expert a été entièrement respectée
Kératite à Acanthamoeba
La kératite à Acanthamoeba est une infection rare mais grave de la cornée. Elle est causée par une amibe libre (Acanthamoeba) que l’on trouve dans l’eau, la terre ou la poussière. Les personnes les plus touchées sont les porteurs de lentilles de contact.
Symptômes typiques


Douleurs oculaires intenses


Sensation de corps étranger

Mesures de prévention
- Toujours se laver les mains avant de manipuler les lentilles
- Ne jamais rincer les lentilles à l’eau du robinet
- Ne pas porter de lentilles sous la douche ou à la piscine
- Respecter les instructions des solutions d’entretien
- Remplacer régulièrement l’étui de rangement
- Ne pas dormir avec ses lentilles

En l’absence de traitement précoce, de graves troubles de la vision peuvent survenir.
![]()